Ρήξη μηνίσκου

Ο έσω και ο έξω μηνίσκος είναι ημισεληνοειδείς δομές κολλαγόνου που παρεμβάλλονται μεταξύ μηρού και κνήμης και παίζουν πρωταρχικό ρόλο στη σταθερότητα του γόνατος, στην κατανομή των φορτίων και την εξομάλυνση των αρθρικών επιφανειών. Οι μηνίσκοι συμβάλουν στην ομαλή λειτουργία και γενικότερα στην υγεία του γόνατος και γι’ αυτό πρέπει να γίνεται κάθε δυνατή προσπάθεια να επισκευασθούν. Σε πολλά κέντρα του εξωτερικού και στην κλινική μας γίνεται διόρθωση ή αντικατάσταση κατεστραμμένων μηνίσκων γεγονός που αποτελεί μια σημαντική πρόοδο στην Ορθοπαιδική.
Οι μηνισκικές βλάβες κατατάσσονται σε δύο κατηγορίες: τις οξείες ρήξεις και τις χρόνιες – εκφυλιστικές ρήξεις.
- Οι Οξείες ρήξεις των μηνίσκων συμβαίνουν συνήθως σε νέα άτομα κατά τη διάρκεια στροφικής κίνησης του μηρού επί της κνήμης με το γόνατο σε κάμψη, ταυτόχρονα το συγκεκριμένο πόδι είναι εκείνο που μεταφέρει το βάρος του σώματος. Η συχνότητα των οξείων μηνισκικών ρήξεων είναι 61/100.000 κατοίκους.
- Οι Χρόνιες-Εκφυλιστικές ρήξεις των μηνίσκων είναι συχνές σε άτομα μεγαλύτερης ηλικίας. Το 60% του πληθυσμού με εκφυλιστικές ρήξεις είναι πάνω από 65 χρονών. Καθώς οι μηνίσκοι γερνούν γίνονται πιο σκληροί και λιγότερο ελαστικοί. Οι εκφυλιστικού τύπου ρήξεις μπορεί να είναι τελείως ασυμπτωματικές ή να παρουσιάζουν ήπια ενοχλήματα.
Τί είναι και πως λειτουργούν οι μηνίσκοι;
Οι δύο μηνίσκοι είναι ημισεληνοειδούς σχήματος σφήνες που γεμίζουν το κενό μεταξύ των αρθρούμενων οστών, του μηρού και της κνήμης. Οι μηνίσκοι ενισχύουν τη σταθερότητα της άρθρωσης, δημιουργούν πάνω στην επίπεδη κνήμη μια κυπελοειδή δομή στην οποία επικάθεται αρμονικά ο μηρός. Το έσω χείλος του μηνίσκου είναι εξαιρετικά λεπτό, ενώ το έξω είναι παχύτερο δημιουργώντας το σφηνοειδές σχήμα του. Αν αφαιρεθούν οι μηνίσκοι τότε ο κυλινδρικός μηρός μετακινείται απ’ ευθείας στην επίπεδη επιφάνεια της κνήμης.
Οι κακώσεις του έσω μηνίσκου είναι συχνότερες γιατί βρίσκεται σταθερά προσκολλημένος στον έσω πλάγιο σύνδεσμο και τον αρθρικό θύλακο. Ο έξω μηνίσκος είναι πιο στρογγυλός, μικρότερος σε μέγεθος και ευκίνητος καθώς δεν προσκολλάται σταθερά ούτε στον έξω πλάγιο σύνδεσμο ούτε και στον αρθρικό θύλακο.
Το πρόσθιο τμήμα του μηνίσκου ονομάζεται πρόσθιο κέρας, ενώ το οπίσθιο, οπίσθιο κέρας. Το κεντρικό τμήμα του μηνίσκου καλείται σώμα.

Ιστολογικά ο μηνίσκος είναι ινοχόνδρινος. Οι ίνες κολλαγόνου που τον αποτελούν σε συνδυασμό με την μεγάλη περιεκτικότητά τους σε νερό του προσδίδουν ελαστικότητα και αντοχή.

Η αιματική παροχή στους μηνίσκους είναι περιορισμένη και γίνεται από μικρές αρτηρίες γύρω από την άρθρωση γεγονός που καθιστά προβληματική την επούλωση τραυματισμών ιδιαίτερα αυτών που εντοπίζονται πλησιέστερα προς το ελεύθερο χείλος του μηνίσκου.
Τι κάνει ο μηνίσκος;
Ο μηνίσκος λειτουργεί σαν το αμορτισέρ του γόνατος, απορροφά μέρος των φορτίων που μεταφέρονται από τον μηρό και τα διαμοιράζει σε μεγαλύτερη επιφάνεια στην κνήμη.
Στη δεκαετία του 1960 και του 1970 ήταν συχνή η ολική αφαίρεση των μηνίσκων. Το αποτέλεσμα ήταν η εμφάνιση αυξημένης συχνότητας πρόωρης εκφυλιστικής αρθρίτιδας σε αυτούς τους ασθενείς. Η ολική έσω μηνισκεκτομή μπορεί να οδηγήσει σε ραιβό άξονα και αρθρίτιδα του έσω διαμερίσματος του γόνατος. Η ολική έξω μηνισκεκτομή μπορεί να προκαλέσει βλαισό άξονα και αρθρίτιδα του έξω διαμερίσματος του γόνατος.
Τι είναι η κάκωση-ρήξη του μηνίσκου;
Ρήξη μηνίσκου είναι η λύση της συνέχειας του μηνίσκου σε κάποιο σημείο της μάζας του. Είναι σημαντικό να γνωρίζουμε την ακριβή θέση της βλάβης, το σχήμα της ρήξεως δηλαδή πώς έχει κοπεί ένας μηνίσκος και το βαθμό της σταθερότητας του τμήματος που υπέστη ρήξη. Με τον τρόπο αυτό μπορεί να σχεδιαστεί η καλύτερη δυνατή θεραπεία.
Θέση: Μια ρήξη μπορεί να εντοπίζεται στο πρόσθιο κέρας, στο σώμα ή στο οπίσθιο κέρας του μηνίσκου. Πιο συχνές είναι οι ρήξεις του οπισθίου κέρατος του έσω μηνίσκου.
Κάθε μηνίσκος χωρίζεται σε τρεις ζώνες αναφορικά με τον βαθμό αιμάτωσης:

- Η red-red zone (RR) βρίσκεται στην περιφέρεια του μηνίσκου στην περιοχή σύνδεσης με τον αρθρικό θύλακο και είναι πλούσια σε αιματική ροή.
- Η red–white zone βρίσκεται στη μέση και είναι πτωχότερη σε αιματική παροχή
- Η white zone αντιστοιχεί στο ελεύθερο χείλος του μηνίσκου και είναι ανάγγεια.
Η ζώνη στην οποία εντοπίζεται η ρήξη καθορίζει και την πιθανότητα επούλωσης καθώς ο βαθμός της αιμάτωσης είναι καθοριστικός παράγοντας. Ρήξεις στη red-red zone έχουν μεγαλύτερη πιθανότητα να κολλήσουν.
Σχήμα: Οι ρήξεις των μηνίσκων έχουν ποικίλα σχήματα. Το είδος της ρήξης θα καθορίσει και το είδος της θεραπείας. Ακολουθούν μερικά παραδείγματα ρήξεων:

Σταθερότητα: Η ρήξη ενός μηνίσκου μπορεί να είναι σταθερή ή ασταθής. Στη σταθερή το ραγέν τμήμα δεν μετακινείται και δύναται να επουλωθεί μόνο του με συντηρητική αγωγή. Όταν η ρήξη είναι ασταθής το τμήμα του μηνίσκου που έχει υποστεί τη ρήξη μετακινείται εντός της άρθρωσης. Στην περίπτωση αυτή απαιτείται χειρουργική – αρθροσκοπική αποκατάσταση της μηνισκικής βλάβης.
Συμπτώματα
- Οξείες Ρήξεις: Είναι συχνές στον αθλητισμό και συμβαίνουν μετά από στροφική κάκωση σε νεαρούς και δραστήριους ενήλικες. Τα συμπτώματα μιας οξείας ρήξης είναι συνήθως πόνος, οίδημα και προβλήματα στην φυσιολογική λειτουργία του γόνατος. Το γόνατο μπορεί να χάσει ένα μέρος του εύρους κίνησης στην έκταση ή την κάμψη του, ή ακόμα και να μπλοκάρει αν το τμήμα του μηνίσκου που έχει κοπεί εισέλθει μέσα στην άρθρωση.
- Χρόνιες Ρήξεις: Συμβαίνουν συχνότερα σε μεγαλύτερους ασθενείς. Οι ασθενείς αναφέρουν επαναλαμβανόμενο οίδημα γόνατος και συχνά δεν θυμούνται συγκεκριμένο επεισόδιο τραυματισμού. Το οίδημα που αναφέρουν, τη στιγμή που εξετάζονται, μπορεί να είναι αποτέλεσμα μιας ασήμαντης, ελαφριάς κάκωσης. Μηχανικά συμπτώματα όπως κριγμός και μπλοκαρίσματα κατά τη λειτουργία του γόνατος είναι συχνά, ενώ σε ορισμένες περιπτώσεις οι ασθενείς αναφέρουν απλά πόνο.
Διάγνωση
- Ο Ορθοπαιδικός χειρουργός θα πάρει ένα πλήρες ιστορικό του τραυματισμού που θα τον βοηθήσει να ξεκαθαρίσει αν τα κλινικά σημεία και τα συμπτώματα στοιχειοθετούν μηνισκική βλάβη.
- Με την κλινική εξέταση θα αξιολογηθεί το οίδημα και η ευαισθησία στο γόνατο. Η πίεση στο μεσάρθριο επίπεδο θα αναδείξει ενδεχόμενη ευαισθησία στον αντίστοιχο μηνίσκο. Για την πλήρη διερεύνηση και τεκμηρίωση μιας βλάβης στις περισσότερες περιπτώσεις απαιτείται απεικονιστικός έλεγχος.
- Ακτινογραφίες: με τον ακτινολογικό έλεγχο αναδεικνύονται κατάγματα και αλλοιώσεις αρθρίτιδας στο γόνατο. Η στένωση του μεσαρθρίου διαστήματος, τα οστεόφυτα, η σκλήρυνση των αρθρικών επιφανειών και οι υποχόνδριες κύστεις χαρακτηρίζουν την οστεοαρθρίτιδα.
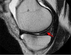
- Η Μαγνητική Τομογραφία MRI βοηθά στο να αναδειχθούν βλάβες στους μηνίσκους, τους συνδέσμους, τους χόνδρους και τα υπόλοιπα μαλακά μόρια. Η Μαγνητική Τομογραφία έχει 75-95% ακρίβεια στην ανάδειξη των μηνισκικών βλαβών.

Θεραπεία
Προκειμένου ο Ορθοπαιδικός να προτείνει μια θεραπεία για μια ρήξη μηνίσκου θα πρέπει να λάβει υπ’ όψιν του τα εξής:
- Το επίπεδο δραστηριότητας του ασθενούς
- Την ηλικία
- Τη θέση και τον τύπο της βλάβης
- Πόσο πρόσφατη είναι η ρήξη
- Τα ενοχλήματα του αρρώστου
- Τη συνυπάρχουσα παθολογία
Αφού ο Γιατρός λάβει υπ’ όψιν του τους παραπάνω παράγοντες θα αποφασίσει για συντηρητική ή χειρουργική θεραπεία.
Συντηρητική θεραπεία
Πολλές κακώσεις μηνίσκου μπορούν να αντιμετωπισθούν συντηρητικά. Μερικές δεν δημιουργούν συμπτώματα ενώ σε αρκετές από αυτές τα συμπτώματα θα υποχωρήσουν προοδευτικά. Μερικού πάχους ρήξεις, σταθερές ρήξεις, εκφυλιστικού τύπου ρήξεις θα πρέπει αρχικά να αντιμετωπίζονται συντηρητικά με παρακολούθηση και φυσικοθεραπεία για διάστημα 2-3 μηνών. Αν η θεραπεία στο διάστημα αυτό αποτύχει τότε οδηγούμαστε σε χειρουργική αρθροσκοπική αποκατάσταση.
Χειρουργική Θεραπεία
Η χειρουργική Αρθροσκοπική θεραπεία για τη ρήξη του μηνίσκου ενδείκνυται όταν :
- Τα συμπτώματα είναι παρόντα χωρίς υποχώρηση περισσότερο από 2–3 μήνες.
- Μια ρήξη μπλοκάρει το γόνατο.
- Συνυπάρχει ρήξη Πρόσθιου Χιαστού Συνδέσμου. Στην περίπτωση αυτή το γόνατο είναι ασταθές και μία μηνισκική βλάβη δεν μπορεί να επουλωθεί σε ένα ασταθές γόνατο.
- Ο ασθενής είναι αθλητής υψηλού επιπέδου.
Η χειρουργική αποκατάσταση, εφόσον κριθεί απαραίτητη, γίνεται πάντοτε αρθροσκοπικά. Συνήθως δεν απαιτείται διανυκτέρευση στο Νοσοκομείο και ο ασθενής το ίδιο βράδυ επιστρέφει σπίτι του.
Η χειρουργική αποκατάσταση που θα επιλεγεί μπορεί να είναι :
- Μερική Μηνισκεκτομή: Επιλέγεται για ρήξεις του ανάγγειου τμήματος του μηνίσκου με πτωχή ή καθόλου αιμάτωση. Ο σκοπός είναι να παραμείνει ένα μεγάλο ποσοστό του μηνίσκου και να απομακρυνθεί όσον το δυνατόν μικρότερο τμήμα του. Μόνο το κομμένο κομμάτι του μηνίσκου αφαιρείται. Όταν το εναπομείναν κομμάτι είναι αρκετό και καλό σε ποιότητα ο ασθενής έχει καλό μετεγχειρητικό αποτέλεσμα ενώ δεν αναπτύσσονται πρώιμες αρθριτικές αλλοιώσεις
- Συρραφή Μηνίσκου: Η διόρθωση – συρραφή του μηνίσκου επιχειρείται για βλάβες που εντοπίζονται στην περιοχή του, εγγύς προς το θύλακο. Η ζώνη αυτή (Red–Red) είναι πλούσια σε αιμάτωση και επομένως έχει καλές πιθανότητες επούλωσης. Συρραφή επιχειρούμε και σε μεγάλες βλάβες η αφαίρεση των οποίων είναι βέβαιο ότι θα έχει βλαπτικά αποτελέσματα για το μέλλον του γόνατος. Η διόρθωση – συρραφή μπορεί να γίνει είτε με ελεύθερα ράμματα είτε με συσκευές συρραφής τύπου fast-fix που τελικά φέρνουν τα δύο τμήματα σε σταθερή επαφή και βοηθούν στην επούλωση. Ο αριθμός των ραμμάτων που απαιτούνται εξαρτάται από το μέγεθος της ρήξης.
- Αντικατάσταση – Μεταμόσχευση του Μηνίσκου: Τα τελευταία χρόνια η αντικατάσταση κατεστραμμένων μηνίσκων θεωρείται μεγάλη πρόοδος στην Ορθοπαιδική. Πρόκειται για μια απαιτητική χειρουργική τεχνική και χρειάζεται προσεκτική επιλογή των ασθενών που θα υποβληθούν σε αντικατάσταση μηνίσκου.
Αποκατάσταση
Αποκατάσταση στη Συντηρητική – Μη Χειρουργική αντιμετώπιση
Το πρόγραμμα αποκατάστασης στην περίπτωση μη χειρουργικής συντηρητικής θεραπείας περιλαμβάνει:
- Χρήση βακτηριών (πατερίτσες) για βάδιση με μερική φόρτιση για τις πρώτες ημέρες μετά την κάκωση μέχρι να υποχωρήσει ο πόνος και το οίδημα στο γόνατο.
- Ασκήσεις κάμψης έκτασης για ανάκτηση εύρους κίνησης.
- Ασκήσεις μυϊκής ενδυνάμωσης του γόνατος ισομετρικές και ισοκινητικές.
Το πρόγραμμα ενδυνάμωσης ξεκινά τη 2η – 3η εβδομάδα. Στην αρχική φάση δεν επιτρέπονται στροφικές κινήσεις. Στροφικές κινήσεις μπορούν να ξεκινήσουν προοδευτικά όταν το γόνατο είναι ελεύθερο συμπτωμάτων.
Αποκατάσταση στη Μερική Μηνισκεκτομή
Η αποκατάσταση στην περίπτωση της μερικής μηνισκεκτομής περιλαμβάνει:
- Βακτηρίες – Πατερίτσες για τις 2-3 πρώτες ημέρες για τον έλεγχο του μετεγχειρητικού πόνου και του οιδήματος. Μετά την υποχώρηση του οιδήματος ο ασθενής μπορεί να περπατά με πλήρη φόρτιση.
- Ασκήσεις κάμψης έκτασης για ανάκτηση εύρους κίνησης.
- Ασκήσεις μυϊκής ενδυνάμωσης ξεκινούν με την υποχώρηση του οιδήματος, περιλαμβάνουν ισομετρική, ισοκινητική ενδυνάμωση καθώς και ελεύθερα βάρη. Ο αθλητής μπορεί να επιστρέψει σε αθλητικές δραστηριότητες 4-6 εβδομάδες μετά το χειρουργείο.
Αποκατάσταση στη Συρραφή Μηνίσκου
Μετά από συρραφή μηνίσκου το πρόγραμμα αποκατάστασης ποικίλει και εξαρτάται από το μέγεθος της ρήξης, τη σταθερότητα της διόρθωσης, τις άλλες συνυπάρχουσες κακώσεις. Γενικά για μια μεμονωμένη συρραφή μηνίσκου προτείνεται:
- Αποφυγή φόρτισης για 1-6 εβδομάδες ανάλογα με το είδος της ρήξης και τη σταθερότητα της συρραφής.
- Βακτηρίες (πατερίτσες) χρησιμοποιούνται άμεσα μετά το χειρουργείο.
- Στη συνέχεια ακολουθεί μια περίοδος 3-4 εβδομάδων όπου ακολουθείται μερική φόρτιση.
- Η χρήση λειτουργικού νάρθηκα έχει ένδειξη σε περιπτώσεις που απαιτείται περιορισμός του εύρους κίνησης στην κάμψη ή την υπερέκταση.
- Οι ασκήσεις κάμψης και έκτασης ξεκινούν άμεσα και αποσκοπούν σε μια ασφαλή, ελεγχόμενη και προοδευτική ανάκτηση του εύρους κίνησης.
- Οι δυναμικές ασκήσεις ακολουθούν την ανάκτηση του εύρους κίνησης.
Επιστροφή σε αθλητικές δραστηριότητες μπορεί να γίνει μετά τον 3ο-4ο μήνα.
Η συνέχιση επί μακρόν συμπτωμάτων όπως πόνος, μηχανικά συμπτώματα, οίδημα του γόνατος, δυσκαμψία ενδέχεται να απαιτήσουν περαιτέρω θεραπεία. Αν το συρραφέν κομμάτι δεν κολλήσει χρειάζεται επανεγχείρηση και πιθανώς αφαίρεση (μερική μηνισκεκτομή).
Πρόσφατα Άρθρα
- Πώς να ασκηθείτε με μάσκα προσώπου - και τι να μην κάνετε!
- Η Μαγνητική Τομογραφία δεν θέτει πάντα τη διάγνωση
- Πρόσφατα δεδομένα στη ρήξη του προσθίου χιαστού στο Rugby
- Η φύση θέλει το χρόνο της...
- Η συνδεσμοπλαστική του Προσθίου Χιαστού Συνδέσμου στους χορευτές
Επικοινωνία
Ευστράτιος Καβρουδάκης (MD, MSc)
Καλυψούς 18, Παλαιό Φάληρο
ΤΚ: 17562
Δέχεται κατόπιν ραντεβού
Ωράριο Λειτουργίας Ιατρείου
Δευτ.- Παρασκευή : 17:00-22:00

I.O.C. Diploma in Sports Medicine
