Παροδική Οστεοπόρωση Ισχίου

Η Παροδική Οστεοπόρωση του Ισχίου είναι μια σπάνια νόσος που προκαλεί παροδική μείωση της οστικής πυκνότητας του εγγύς τμήματος του μηριαίου οστού. Οι ασθενείς εμφανίζουν ξαφνικά πόνο στο ισχίο ο οποίος επιδεινώνεται με τη βάδιση και σταδιακά αυξάνει. Τα συμπτώματα υποχωρούν μέσα σε 6-12 μήνες και η οστική αντοχή επανέρχεται στα φυσιολογικά επίπεδα. Η Παροδική Οστεοπόρωση του Ισχίου αποτελεί μια εντελώς ξεχωριστή οντότητα από την γνωστή Οστεοπόρωση η οποία είναι ανώδυνη και σχετίζεται με την ηλικία.
Διάγνωση
Η Παροδική Οστεοπόρωση του Ισχίου είναι σπάνια και εμφανίζεται συχνότερα σε:
- Νεαρούς και μεσήλικες άνδρες (30-60 ετών)
- Γυναίκες κατά τους τελευταίους μήνες της κύησης ή κατά τη λοχεία.
Η νόσος προσβάλει συχνότερα το ισχίο αλλά μπορεί να εμφανιστεί και σε άλλες αρθρώσεις του κάτω άκρου όπως το γόνατο και η ποδοκνημική.
'Οσο η νόσος βρίσκεται σε εξέληξη, το οστό αποδυναμώνεται και αυξάνεται ο κύνδινος κατάγματος!
Αίτια
Προς το παρόν τα αίτια της Παροδικής Οστεοπόρωσης είναι άγνωστα. Παράγοντες που έχουν "ενοχοποιηθεί" κατά καιρούς είναι:
- Ενδο-οστική αγγειακή απόφραξη
- Ορμονικές διαταραχές
- Υπερβολικά μηχανικά φορτία
Συμπτώματα
Πόνος:
- Αιφνήδια έναρξη
- Επιδεινώνεται με τη βάδιση και βελτιώνεται με την ξεκούραση
- Περιορίζει το εύρος κίνησης του ισχίου
- Σταδιακά αυξάνεται μέσα σε μια περίοδο εβδομάδων/μηνών
Ακτινολογικός έλεγχος
Ακτινογραφίες
Οι απλές ακτινογραφίες μπορούν να δείξουν καθαρά την οστική απώλεια μόνο όταν η νόσος βρίσκεται σε αρκετά προχωρημένο στάδιο (μετά τους 2-3 μήνες). Στις εγγύους καλό είναι να αποφεύγονται.

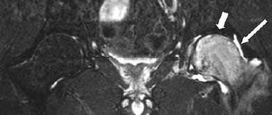
Μαγνητική Τομογραφία (MRI)
H Μαγνητική τομογραφία μπορεί να ανιχνεύσει τις οστικές μεταβολές πολύ νωρίτερα καθώς και να δώσει λεπτομερείς εικόνες της κατάστασης των περιβάλλοντων ιστών.
Επίσης μπορεί να απεικονίσει επαρκώς το Οίδημα του Οστικού Μυελού που βοηθάει στη διάγνωση της νόσου.

Η μέτρηση της οστικής πυκνότητας (DXA) δεν έχει θέση στον έλεγχο της Παροδικής Οστεοπόρωσης του Ισχίου!
Εργαστηριακός έλεγχος
Δεν υπάρχει εξειδικευμένος εργαστηριακός έλεγχος για την διάγνωση της νόσου. Οι εργαστηριακές εξετάσεις απλά βοηθούν στον αποκλεισμό άλλων αιτιών πόνου στο ισχίο όπως: μεταβολικές διαταραχές, ορμονικές διαταραχές, μεταστατική νόσος κλπ.
Θεραπεία
Η παροδική Οστεοπόρωση του Ισχίου είναι μια αυτοπεριοριζόμενη νόσος, δηλαδή υποχωρεί από μόνη της. Γι΄αυτόν τον λόγο η θεραπεία εστιάζεται στον περιορισμό των συμπτωμάτων και στην προστασία του οστού από τα πιθανά κατάγματα.
- Μη Στεροειδή Αντιφλεγμονώδη Φάρμακα (ΜΣΑΦ)
- Αποφυγή φόρτισης κάτω άκρου (χρήση βακτηριών, π κλπ)
- Φυσικοθεραπεία
- Σωστή διατροφή (Ασβέστιο, βιταμίνη D)
Αποτελέσματα
Με τη σωστή και έγκαιρη διάγνωση της νόσου έχουμε πλήρη ύφεση των συμπτωμάτων μέσα σε 6-12 μήνες. Σε αυτό το διάστημα η οστική αντοχή θα επιστρέψει στα φυσιολογικά επίπεδα.
Σε ένα μικρό ποσοστό ασθενών η Παροδική Οστεοπόρωση του Ισχίου μπορεί να επανέλθει μετα από χρόνια στο ίδιο ή στο άλλο ισχίο.
Πρόσφατα Άρθρα
- Πώς να ασκηθείτε με μάσκα προσώπου - και τι να μην κάνετε!
- Η Μαγνητική Τομογραφία δεν θέτει πάντα τη διάγνωση
- Πρόσφατα δεδομένα στη ρήξη του προσθίου χιαστού στο Rugby
- Η φύση θέλει το χρόνο της...
- Η συνδεσμοπλαστική του Προσθίου Χιαστού Συνδέσμου στους χορευτές
Επικοινωνία
Ευστράτιος Καβρουδάκης (MD, MSc)
Καλυψούς 18, Παλαιό Φάληρο
ΤΚ: 17562
Δέχεται κατόπιν ραντεβού
Ωράριο Λειτουργίας Ιατρείου
Δευτ.- Παρασκευή : 17:00-22:00

I.O.C. Diploma in Sports Medicine
