Ασβεστοποιός Τενοντίτιδα
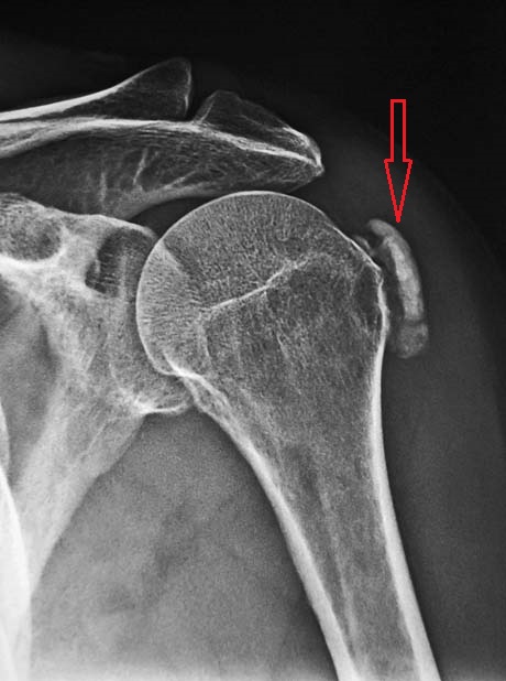
Με τον όρο «ασβεστοποιός τενοντίτιδα» εννοούμε την πάθηση κατά την οποία έχουμε εναπόθεση αλάτων ασβεστίου, συνήθως υδροξυαπατίτη, σε περιαρθρικούς ιστούς και κυρίως στους τένοντες κοντά στα σημεία που προσκολλώνται πάνω στα οστά. Η εναπόθεση αλάτων ασβεστίου μπορεί να είναι διάχυτη ή να συσσωρεύεται σε ένα σημείο, οπότε είναι ακτινολογικά ορατή. Η εμφάνιση της νόσου είναι πιό συχνή στους ενήλικες μεταξύ 30 και 50 ετών και είναι λίγο πιό συχνή στις γυναίκες.
Η αιτιολογία της ασβεστοποιού τενοντίτιδας δεν είναι πλήρως γνωστη.Οι περιαρθρικές εναποθέσεις αλάτων ασβεστίου μπορεί να είναι ασυμπτωματικές.Σε ορισμένες περιπτώσεις όμως κρύσταλλοι ασβεστίου αποσπώνται από τις εναποθέσεις, εισέρχονται σε παρακείμενο ορογόνο θύλακο και προκαλούν έντονη τοπική φλεγμονή που εκδηλώνεται με πολύ ισχυρό πόνο, διόγκωση, θερμότητα και έντονη τοπική ευαισθησία στην πίεση.
Συμπτώματα
Τα συμπτώματα είναι ανάλογα της βασικής αιτίας του προβλήματος. Το κύριο σύμπτωμα είναι ο πόνος με ποικίλους όμως χαρακτήρες
Ο πόνος είναι πιθανό να έχει εξάρσεις και υφέσεις, να μεταβάλλεται ή να είναι συνεχής, να ακτινοβολεί σε ολόκληρο το χέρι, να γίνεται αντιληπτός στην διάρκεια συγκεκριμένων κινήσεων ή κατά την νυκτερινή ανάπαυση. Συχνά ακτινοβολεί από τον ώμο, περιφερικά πρός την κατάφυση του δελτοειδούς μυός και σπανιότερα πρός τον αυχένα. Επιδεινώνεται με την άρση του άνω άκρου πάνω από το επίπεδο του ώμου ή όταν ο ασθενής ξαπλώνει πάνω στον ώμο του. Ο πόνος μπορεί να ξυπνά τον ασθενή από τον ύπνο του.
Άλλα συμπτώματα αποτελούν τα ακόλουθα:
- Μυϊκή αδυναμία
- Δυσκαμψία (Περιορισμός της κίνησης που μπορεί να καταλήξει σε «Σύνδρομο Παγωμένου Ώμου»)
- Ήχος κατά την κίνηση του ώμου.
ΘΕΡΑΠΕΙΑ
Η θεραπεία της ασβεστοποιού τενοντίτιδας μπορεί να είναι συντηρητική ή χειρουργική και η επιλογή της μεθόδου εξαρτάται από το στάδιο της ασβεστοποίησης και την ένταση των συμπτωμάτων.
Στις θεραπευτικές μας επιλογές είναι:
- Παγοθεραπεία
- Ιοντοφόρεση με χρήση αντιφλεγμονώδους ή κορτιζονούχου φάρμακου.
- Χρήση των εξωσωματικών οστικών κυμάτων (Shock Wave) σε συνδυασμό με διατάσεις.
- Θεραπευτικό Υπέρηχο (με αμφιλεγόμενα όμως οφέλη)
- Κινητοποίηση της άρθρωσης (mobilization), στα όρια του πόνου, με στόχο την αύξηση του εύρους κίνησης.
- Μυϊκή ενδυνάμωση.
- Ασκήσεις Ιδιοδεκτικότητας.
Σε περίπτωση εγκατεστημένου «Συνδρόμου παγωμένου ώμου», θεωρείται απαραίτητη η χρήση του μηχανήματος CPM (Παθητικής κινητοποίησης του Ώμου).

Αν αποτύχουν τα παραπάνω μη επεμβατικά μέσα, η λύση είναι η χειρουργική αφαίρεση του τόφου ασβεστίου που έχει αποτεθεί μέσα στον τένοντα. Η επέμβαση αυτή σήμερα γίνεται αρθροσκοπικά.Με την αρθροσκόπηση ανευρίσκεται η εστία της ασβεστοποίησης και αναρροφάται. Μετεγχειρητικά το άνω άκρο τοποθετείται σε φάκελο ανάρτησης για περίπου μία εβδομάδα και εν συνεχεία, ακολουθείταιπρόγραμμα φυσιοθεραπείας με έμφαση στο εύρος κίνησης.
Πρόσφατα Άρθρα
- Πώς να ασκηθείτε με μάσκα προσώπου - και τι να μην κάνετε!
- Η Μαγνητική Τομογραφία δεν θέτει πάντα τη διάγνωση
- Πρόσφατα δεδομένα στη ρήξη του προσθίου χιαστού στο Rugby
- Η φύση θέλει το χρόνο της...
- Η συνδεσμοπλαστική του Προσθίου Χιαστού Συνδέσμου στους χορευτές
Επικοινωνία
Ευστράτιος Καβρουδάκης (MD, MSc)
Καλυψούς 18, Παλαιό Φάληρο
ΤΚ: 17562
Δέχεται κατόπιν ραντεβού
Ωράριο Λειτουργίας Ιατρείου
Δευτ.- Παρασκευή : 17:00-22:00

I.O.C. Diploma in Sports Medicine
