Αρθρίτιδα Ποδοκνημικής
Γενικά
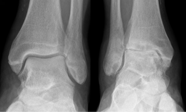
Η ποδοκνημική (άρθρωση μεταξύ αστραγάλου και κνήμης) προσβάλλεται λιγότερο συχνά από αρθρίτιδα σε σχέση με το γόνατο ή το ισχίο. Στην ποδοκνημική άρθρωση ή αρθρίτιδα είναι συνήθως αποτέλεσμα παλιότερου τραυματισμού, κατάγματος ή χρόνιας αστάθειας. Λόγω του ότι είναι συνήθως αποτέλεσμα τραύματος ή κατάγματος είναι δυνατό να εμφανιστεί και σε σχετικά νεαρή ηλικία και όχι μόνο σε ηλικιωμένους ασθενείς.
Συμπτώματα
Τα κύρια συμπτώματα είναι ο πόνος που σχετίζεται με τη βάδιση και τις καθημερινές δραστηριότητες, καθώς και η μείωση του εύρους κίνησης.
Διάγνωση
Η διάγνωση γίνεται από την κλινική εξέταση και από τις απλές ακτινογραφίες σε φόρτιση.

Θεραπεία
Γενικά δεν υπάρχουν φάρμακα που να αναστρέφουν την πορεία της οστεοαρθρίτιδας (σε οποιαδήποτε άρθρωση). Η θεραπεία στοχεύει στην αντιμετώπιση του πόνου, αρχικά με μη χειρουργικά μέσα και όταν αυτά δεν είναι πλέον αποτελεσματικά, συνιστάται χειρουργική επέμβαση.
Μη χειρουργική θεραπεία
- Παυσίπονα (όπως παρακεταμόλη) και αντιφλεγμονώδη
- Περιορισμός δραστηριοτήτων
- Νάρθηκες, ελαστικοί επίδεσμοι
- Φυσιοθεραπεία
- Ενέσεις (υαλουρονικού σε αρχόμενο στάδιο και κορτιζόνης σε πιο προχωρημένη αρθρίτιδα)
Χειρουργική θεραπεία
Ανάλογα με το βαθμό βλάβης του αρθρικού χόνδρου, μπορούμε να διακρίνουμε τις χειρουργικές επεμβάσεις σε αυτές που διατηρούν την άρθρωση (αρθροσκόπηση και καθαρισμός από οστεόφυτα, οστεοτομία κνήμης) και στις πιο ‘ριζικές’ που καταργούν τη φυσική άρθρωση (αρθρόδεση, αρθροπλαστική). Το ποια είναι η κατάλληλη για τον κάθε ασθενή είναι αποτέλεσμα προσεκτικής εξέτασης και συζήτησης με τον ειδικό ορθοπαιδικό χειρουργό. Το βασικότερο είναι να προσδιοριστεί ακριβώς πόσο το πρόβλημα επηρεάζει την ποιότητα ζωής του ασθενούς και να ταιριάσουν οι προσδοκίες του, με το τι μπορεί να παρέχει η κάθε επέμβαση.
1 – Επεμβάσεις που διατηρούν την άρθρωση
Αρθροσκόπηση- αφαίρεση οστεοφύτων
Η επέμβαση αυτή ενδείκνυται μόνο σε αρχόμενη αρθρίτιδα. Σε προχωρημένα στάδια ΔΕΝ είναι αποτελεσματική.

Οστεοτομία κνήμης
Η επέμβαση αυτά αλλάζει τον τρόπο που φορτίζεται η άρθρωση κατά τη στάση, τη βάδιση και γενικά τη δραστηριότητα. Έχει ένδειξη σε σχετικά νέους ασθενείς, στους οποίους η αρθρίτιδα είναι αποτέλεσμα αστάθειας με βαθμιαία παραμόρφωση σε ραιβότητα (το άκρο πόδι είναι στραμμένο προς τα μέσα), καθώς και σε αρθρίτιδα συνέπεια κατάγματος. Είναι αποτελεσματική εφόσον η ‘μισή’ περίπου άρθρωση έχει φυσιολογικό χόνδρο. Για την επιβεβαίωση της ένδειξης μπορεί να συνδυαστεί με αρθροσκόπηση. Πρόκειται για κόψιμο του οστού (οστεοτομία) στο κάτω άκρο της κνήμης και οστεοσύνθεση σε διαφορετική θέση, ώστε να αλλάξει ο άξονας φόρτισης όλου του σκέλους και να μην περνάει από την περιοχή της άρθρωσης που έχει βλάβη ο χόνδρος. Προκαλούμε δηλαδή ένα ΄τεχνητό κάταγμα’ στο επιθυμητό επίπεδο και το βάζουμε να ‘κολλήσει’ σε άλλη θέση, τέτοια που να διορθώσουμε τον άξονα της άρθρωσης (που έχει βλαφτεί από την αρθρίτιδα). Η συγκράτηση του οστού (οστεοσύνθεση) γίνεται είτε με πλάκα και βίδες εσωτερικά (σ’ αυτή την περίπτωση χρησιμοποιούμε γύψο για 3 μήνες μετεγχειρητικά), είτε με εξωτερική οστεοσύνθεση. Η οστεοτομία έχει σκοπό να διατηρήσει την κίνηση στη φυσική άρθρωση και να ΄κερδίσει χρόνο’ πριν χρειαστεί μια πιο ‘ριζική’ επέμβαση. Στόχος είναι να ελαττωθεί ο πόνος και να επιβραδυνθεί η εξέλιξη της οστεοαρθρίτιδας. Ανάλογα με το πόσο προχωρημένη είναι η αρθρίτιδα, η οστεοτομία είναι δυνατό να δώσει καλά αποτελέσματα σε νέους και δραστήριους ασθενείς για αρκετά χρόνια.

2 – Επεμβάσεις που καταργούν τη ΄΄φυσική άρθρωση΄΄
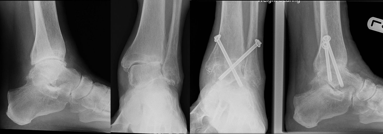
Αρθρόδεση Ποδοκνημικής
Η αρθρόδεση καταργεί την κίνηση στην άρθρωση μεταξύ αστραγάλου και κνήμης (διατηρείται όμως η κίνηση σε παρακείμενες αρθρώσεις). Σε γενικές γραμμές χάνεται περίπου 50% από την κάμψη-έκταση του ποδιού ως προς την κνήμη. Έχει ένδειξη για τελικού σταδίου αρθρίτιδα, όταν όλα τα άλλα μέτρα αποτυγχάνουν να ελέγξουν τον πόνο. Αντενδείξεις πρακτικά δεν υπάρχουν. Καθώς η επέμβαση μπορεί να γίνει αρθροσκοπικά , ακόμα και προβλήματα στο δέρμα (ουλές, φλεβική ανεπάρκεια) ή παθήσεις όπως διαβήτης, αρτηριοπάθεια δεν αποτελούν ιδιαίτερο πρόβλημα για το χειρουργό και τον ασθενή.

Η εξέλιξη της χειρουργικής τεχνικής τα τελευταία χρόνια επιτρέπει η επέμβαση να γίνει αρθροσκοπικά (με μικρές τομές), κάτι που γίνεται από την ομάδα μας με επιτυχία. Η επέμβαση γίνεται με γενική ή ραχιαία αναισθησία και απαιτεί την παραμονή στην κλινική για 2-3 μέρες. Στην επέμβαση αυτή γίνεται οστεοσύνθεση με βίδες ανάμεσα στον αστράγαλο και την κνήμη, αφού καθαριστούν οι αρθρικές επιφάνειες από τον υπολειπόμενο παθολογικό χόνδρο και τα οστεόφυτα. Μετά το χειρουργείο χρησιμοποιείται γύψος για 3-5 μήνες ανάλογα με την πορεία πώρωσης που ελέγχεται ακτινολογικά (στις 6 εβδομάδες, 3 μήνες, 5 μήνες). Στις 6 εβδομάδες ο ασθενής αρχίζει να φορτίζει το σκέλος (μέσα στο γύψο), ενώ μετά τους 3 μήνες μπορεί να χρησιμοποιηθεί αφαιρούμενος νάρθηκας (΄΄μπότα΄΄) επιτρέποντας τη φόρτιση. Η αρθροσκοπική αρθρόδεση σχετίζεται με μικρότερη επιβάρυνση για τον ασθενή. Αποφεύγονται οι μεγάλες χειρουργικές τομές, γεγονός που μειώνει το ποσοστό των επιπλοκών (όπως λοιμώξεις, μη πώρωση, κακή επούλωση χειρουργικής τομής) και επιταχύνει την πώρωση και την επάνοδο στις δραστηριότητες, με πολύ καλά λειτουργικά αποτελέσματα σε ποσοστό πάνω από 95%. Ο πόνος φεύγει και παρόλο που η κίνηση μειώνεται σε κάποιο βαθμό οι ασθενείς είναι ευχαριστημένοι αφού μπορούν να χρησιμοποιούν και να φορτίζουν το πόδι τους πολύ καλύτερα και ανώδυνα. Σπάνια χρειάζεται η κατασκευή ειδικής κυρτής σόλας στο παπούτσι για να διευκολύνει την κίνηση. Γενικά οι ασθενείς με αρθρόδεση ποδοκνημικής μπορούν να συμμετέχουν στις καθημερινές δραστηριότητες χωρίς πρόβλημα, να οδηγούν και να κάνουν και βαριά χειρονακτική εργασία. Σε ότι αφορά τις αθλητικές δραστηριότητες, είναι δυνατό να επανέλθουν στο επίπεδο που είχαν πριν την επέμβαση. Είναι δυνατό το κολύμπι, το ποδήλατο, το σκι, αλλά όχι αθλήματα όπως ποδόσφαιρο, μπάσκετ, τένις, που απαιτούν αλλαγές στην πορεία της κίνησης και γενικά ευλυγισία. Επειδή στους ασθενείς που χρειάζονται αρθρόδεση, η δυσκαψία και ο πόνος έχουν περιορίσει τις δυνατότητες τους για άσκηση αρκετά χρόνια πριν το χειρουργείο, το ανώδυνο πόδι μετεγχειρητικά βελτιώνει την ποιότητα ζωής και τις δραστηριότητές τους.
Τι γίνεται μετά από πολλά χρόνια;
Εφόσον η αρθρόδεση είναι επιτυχής, δεν θα χρειαστεί κάτι άλλο στην ποδοκνημική. Ο ασθενής πρέπει να γνωρίζει ότι συχνά έχει ταυτόχρονα κάποιου βαθμού αρθρίτιδα και σε άλλες αρθρώσεις στο πόδι, η οποία μετά από χρόνια μπορεί να επιβαρυνθεί.
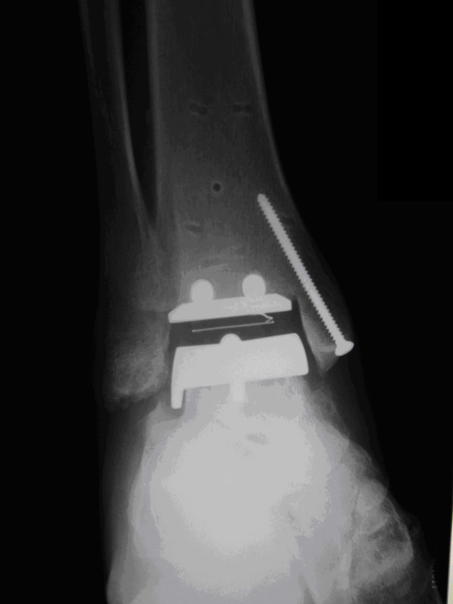
Αρθροπλαστική ποδοκνημικής
Πρόκειται για αντικατάσταση της φυσικής άρθρωσης με τεχνητή (μέταλλο και πλαστικό’). Η αρθροπλαστική έχει σκοπό να διατηρήσει κίνηση στην άρθρωση (τεχνητή πλέον). Αρθροπλαστικές ποδοκνημικής γίνονται από το 1970, όμως τα αρχικά αποτελέσματα ήταν απογοητευτικά. Τα εμφυτεύματα που χρησιμοποιούνται σήμερα έχουν γενικά βελτιωθεί, όπως και η γνώση και χειρουργική τεχνική, ιδιαίτερα σήμερα που υπάρχουν ορθοπαιδικοί χειρουργοί εξειδικευμένοι στις παθήσεις του ποδιού. Σε σχέση με τις αρθροπλαστικές γόνατος και ισχίου (που είναι οι πιο συχνές), οι αρθροπλαστικές ποδοκνημικής υστερούν τόσο σε ότι αφορά τις ενδείξεις (σε ποιον ασθενή πρέπει να γίνονται) όσο και στη ‘διάρκεια ζωής’ τους. Έχει ένδειξη για τελικού σταδίου αρθρίτιδα (όπως και η αρθρόδεση), όταν όλα τα άλλα μέτρα αποτυγχάνουν να ελέγξουν τον πόνο. Ιδιαίτερα ενδείκνυται σε ασθενείς που έχουν αρθρίτιδα και σε άλλες αρθρώσεις του ποδιού που απαιτούν αρθρόδεση. Η αρθροπλαστική μπορεί να διατηρήσει κάποιο εύρος κίνησης.
Αντενδείξεις
Εδώ βρίσκεται η βασική διαφορά σε σχέση με την αρθρόδεση. Ενώ η αρθρόδεση μπορεί να γίνει σε οποιοδήποτε ασθενή, δεν ισχύει το ίδιο για την αρθροπλαστική ποδοκνημικής. Η νεαρή ηλικία είναι αντένδειξη, ενώ σχετική αντένδειξη είναι η βαριά χειρωνακτική εργασία. Στις παραπάνω περιπτώσεις, όπως και αν υπάρχει παραμόρφωση της άρθρωσης, ή αστάθεια, είναι πιθανή η γρήγορη αποτυχία της αρθροπλαστικής . Προβλήματα στο δέρμα, παλιές ουλές από τραύμα ή προηγούμενα χειρουργεία, είναι επίσης αντενδείξεις, αφού μπορεί να οδηγήσουν σε μετεγχειρητικά προβλήματα. Το κάπνισμα και παθήσεις όπως ο διαβήτης και οι αγγειοπάθειες, σχετίζονται με αυξημένα ποσοστά επιπλοκών.
Η επέμβαση γίνεται με γενική ή ραχιαία αναισθησία. Γίνεται μια χειρουργική τομή 15 εκατοστών περίπου στην πρόσθια επιφάνεια της άρθρωσης. Τοποθετούνται εμφυτεύματα: μέταλλο στην κνήμη και τον αστράγαλο και ανάμεσά τους κινούμενο πολυαιθυλένιο (πλαστικό). Μετά το χειρουργείο χρησιμοποιείται γύψος για 3 εβδομάδες με ελάχιστη φόρτιση και κατόπιν αφαιρούμενος κηδεμόνας (μπότα) για άλλες 3 εβδομάδες επιτρέποντας τη φόρτιση.

Τι σημαίνει »χαλάρωση» της αρθροπλαστικής
Σε όλες τις αρθροπλαστικές το μέταλλο τρίβεται πάνω στο πλαστικό κατά την κίνηση. Όσο νεότερος και πιο δραστήριος είναι ο ασθενής τόσο γρηγορότερα γίνεται αυτό. Όταν έχουμε άρθρωση με παραμόρφωση και κάνουμε αρθροπλαστική, φορτίζεται ανομοιόμορφα και φθείρεται πιο πολύ το ‘πλαστικό’. Αυτό παράγει σωματίδια που οδηγούν στην σταδιακή διάβρωση του οστού (οστεόλυση), στη χαλάρωση του μεταλλικού εμφυτεύματος μέσα σε σύντομο διάστημα. Η πιθανότητα ‘χαλάρωσης’ της αρθροπλαστικής ποδοκνημικής είναι 12% στα 5 χρόνια και κοντά στο 20% στα 10 χρόνια (στο γόνατο και το ισχίο τα αντίστοιχα ποσοστά είναι 2-5%). Στο γόνατο και το ισχίο που είναι μεγαλύτερες αρθρώσεις, υπάρχει τεχνικά η δυνατότητα να κάνουμε αρθροπλαστική έχοντας διορθώσει τον ‘άξονα’ της άρθρωσης. Αντίθετα στην ποδοκνημική, όπου ο αστράγαλος είναι ένα μικρό σε μέγεθος οστό, οι δυνατότητες του χειρουργού για διόρθωση είναι περιορισμένες. Επιπλέον σε αρθρώσεις με αρθρίτιδα που προέρχεται από προηγούμενο τραυματισμό οι σύνδεσμοι είτε είναι πολύ σφιχτοί, είτε ασταθείς και αυτό δημιουργεί κακές συνθήκες κίνησης για την τεχνητή άρθρωση. Αυτό έχει σαν αποτέλεσμα πολλές φορές δυσκαμψία και πόνο, παρόλο που κάναμε αρθροπλαστική.

Αποτελέσματα
Η αρθροπλαστική ποδοκνημικής, όταν γίνεται με κατάλληλες ενδείξεις στους κατάλληλους ασθενείς έχει πολύ καλά λειτουργικά αποτελέσματα και πάνω από 80% των ασθενών είναι ευχαριστημένοι. Ο πόνος φεύγει και η κίνηση την άρθρωση είναι όμοια με πριν το χειρουργείο (αν υπήρχε έντονη δυσκαμψία πριν, δεν βελτιώνεται ιδιαίτερα με αρθροπλαστική). Είναι πιο πιθανό (σε σχέση με την αρθρόδεση) να παραμείνει κάποιος πόνος. Η βάδιση είναι φυσιολογική και οι ασθενείς μπορούν να οδηγούν. Δεν συνίσταται η επέμβαση όμως σε νέους ασθενείς και σ’ αυτούς που κάνουν βαριά χειρονακτική εργασία. Σε ότι αφορά τις αθλητικές δραστηριότητες, είναι δυνατό το κολύμπι, το ποδήλατο, αλλά όχι αθλήματα όπως ποδόσφαιρο, μπάσκετ, τένις, που απαιτούν αλλαγές στην πορεία της κίνησης. Ακόμα και αν έχει πολύ καλή λειτουργία η αρθροπλαστική και μπορεί ο ασθενής να συμμετέχει σε τέτοια αθλήματα καλό είναι αυτό να αποφεύγεται, καθώς αυτό θα προκαλέσει πιο γρήγορη φθορά της αρθροπλαστικής. Η πιθανότητα λοίμωξης και προβλημάτων με την επούλωση της χειρουργική τομής φτάνουν το 10%.
Πρόσφατα Άρθρα
- Πώς να ασκηθείτε με μάσκα προσώπου - και τι να μην κάνετε!
- Η Μαγνητική Τομογραφία δεν θέτει πάντα τη διάγνωση
- Πρόσφατα δεδομένα στη ρήξη του προσθίου χιαστού στο Rugby
- Η φύση θέλει το χρόνο της...
- Η συνδεσμοπλαστική του Προσθίου Χιαστού Συνδέσμου στους χορευτές
Επικοινωνία
Ευστράτιος Καβρουδάκης (MD, MSc)
Καλυψούς 18, Παλαιό Φάληρο
ΤΚ: 17562
Δέχεται κατόπιν ραντεβού
Ωράριο Λειτουργίας Ιατρείου
Δευτ.- Παρασκευή : 17:00-22:00

I.O.C. Diploma in Sports Medicine
