Τενοντίτιδα Αχιλλείου
Ο Αχίλλειος τένοντας είναι ο μεγαλύτερος τένοντας του ανθρώπινου σώματος και ενώνει τους μύες της γάμπας με το οπίσθιο μέρος του πέλματος. Με τον όρο τενοντίτιδα γενικά εννοούμε τη δημιουργία φλεγμονής σε κάποιον τένοντα, συνοδευόμενη από τοπική αύξηση της θερμοκρασίας, ερυθρότητα και πόνο.
Ταξινόμηση
1) Μη καταφυτική τενοντίτιδα κατά την οποία το πρόβλημα εστιάζεται στο μέσο τμήμα του τένοντα (αφορά συνήθως ανθρώπους νεότερης ηλικίας)
2)Καταφυτική τενοντίτιδα κατά την οποία το πρόβλημα εστιάζεται στην κατάφυση του τένοντα στο σημείο δηλαδή που ο τένοντας ενώνεται με την πτέρνα

Αιτία
Η τενοντίτιδα στον Αχίλλειο τένοντα κατατάσσεται στις κακώσεις από υπέρχρηση, δηλαδή κακώσεις που εκδηλώνονται λόγω σταδιακής, χρόνιας καταπόνησης.
Συνήθως εμφανίζεται σε αθλητές μεγάλων αποστάσεων ή σπρίντερ αλλά και σε ανθρώπους που δεν έχουν ευλύγιστους, εξισορροπημένους και δυνατούς μύς.
Επιπλέον, άτομα που είναι υπέρβαρα, δεν γυμνάζονται με τον σωστό τρόπο και δεν φορούν τα κατάλληλα παπούτσια έχουν περισσότερες πιθανότητες να παρουσιάσουν πρόβλημα στον αχίλλειο, λόγω των αυξημένων φορτίων που δέχεται το συγκεκριμένο σημείο.
Κλινική εικόνα
Τα συνήθη συμπτώματα της τενοντίτιδας του αχίλλειου περιλαμβάνουν:
- Πόνο και δυσκαμψία κατά μήκος του Αχίλλειου τένοντα κυρίως τις πρωινές ώρες
- Πόνο κατά μήκος του τένοντα ή στο πίσω μέρος της πτέρνας, που επιδεινώνεται με τη δραστηριότητα
- Πάχυνση του τένοντα
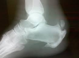
- Ανάπτυξη οστεόφυτου στο πίσω μέρος της πτέρνας (Καταφυτική τενοντίτιδα)

Ανάπτυξη οστεόφυτου στο πίσω μέρος της πτέρνας (Καταφυτική τενοντίτιδα)
Θεραπεία
Συντηρητική
Η συντηρητική θεραπεία της τενοντίτιδας του αχιλλείου περιλαμβάνει:
- Χορήγηση αντιφλεγμονωδών φαρμάκων
- Φυσικοθεραπείες
- Ενέσεις κορτιζόνης
- Ενέσεις PRP
- ESWT (Κρουστικός υπέρηχος)
Χειρουργική
Σε επίμονες καταστάσεις όπου η συντηρητική αγωγή έχει αποτύχει ακολουθεί η χειρουργική αντιμετώπιση

Πρόσφατα Άρθρα
- Πώς να ασκηθείτε με μάσκα προσώπου - και τι να μην κάνετε!
- Η Μαγνητική Τομογραφία δεν θέτει πάντα τη διάγνωση
- Πρόσφατα δεδομένα στη ρήξη του προσθίου χιαστού στο Rugby
- Η φύση θέλει το χρόνο της...
- Η συνδεσμοπλαστική του Προσθίου Χιαστού Συνδέσμου στους χορευτές
Επικοινωνία
Ευστράτιος Καβρουδάκης (MD, MSc)
Καλυψούς 18, Παλαιό Φάληρο
ΤΚ: 17562
Δέχεται κατόπιν ραντεβού
Ωράριο Λειτουργίας Ιατρείου
Δευτ.- Παρασκευή : 17:00-22:00

I.O.C. Diploma in Sports Medicine
